Mindblown: un blog sulla filosofia.
-
Stickers da Parete, Non Solo Belli
Da qualche anno si è diffusa la tendenza, soprattutto per le coppie giovani, di decorare le pareti di casa con stickers adesivi. Se non ne hai mai sentito parlare, ti racconterò di come questa tendenza si sia diffusa e di quali sono gli utilizzi principali rispetto alle diverse occasioni d’uso. Gli stickers da parete sono…
-

Il Consulente SEO, Come sceglierlo?
Nel corso della storia di Google si sono susseguiti diversi aggiornamenti algoritmici che di volta in volta hanno penalizzato i siti web in violazione delle linee guida sulla qualità delle pagine web. Che tu desideri ottimizzare il tuo sito web per i motori di ricerca, oppure che tu debba risolvere il problema di una penalizzazione da Google…
-
Quel Divano in Central Perk
Quanti ricordi attribuiamo alle serie TV. Negli anni ’90 tutti guardavano Friends, il telefilm che raccontava le storie di Monica, Ross, Reachel, Chandler, Joy e Phoebe, i 6 “amici” che ci hanno tenuto compagnia per tanti anni, regalandoci tanti sorrisi e incollandoci al televisore con le loro storie al limite dell’assurdo. Ho letto su Fanpage che…
-

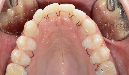
Ortodonzia Linguale Pro e Contro
L’ortodonzia linguale senza attacchi è la nuova frontiera dell’ortodonzia. Si tratta di un apparecchio ortodontico invisibile e fisso che consente a chi lo utilizza di riallineare i denti o correggere una malocclusione senza mostrarsi in pubblico con il sorriso ingabbiato nella classica “saracinesca” costituita dall’apparecchio esterno o vestibolare. Rispetto all’ortodonzia linguale classica, che è sempre…
-
Appendiabiti da Parete: Materiali e Marchi
Casa mia è arredata in stile moderno, con un occhio al design. Ci abbiamo messo oltre un mese a scegliere l’appendiabiti per l’ingresso, volevamo fosse a scomparsa. Abbiamo trovato diverse alternative anche tra cui alcune molto valide rispetto agli appendiabiti economici tra cui spiccavano quelli adesivi. Davvero molto intelligenti!
-

Server virtuali
Un server virtuale è un computer su cui alloggiano più siti web dividendosi le risorse in modo parzionato. È una soluzione molto diffusa perché pur non garantendo la stessa solidità di un server dedicato in termini di sicurezza e (soprattutto) di affidabilità, costa molto meno di quest’ultimo e presenta numerosi vantaggi rispetto all’hosting condiviso, rispetto al…
-

Scegliere il Divano Per la Vita
Scarica la guida in PDF su come scegliere il divano. Alcune scelte che compiamo frequentemente, possono essere più o meno rilevanti per un giorno o per una settimana. Una decisione importante può caratterizzare la nostra vita per un anno, ma esistono scelte i cui effetti durano molto di più. Una di queste è scegliere il divano.…
-

Migliori Server Dedicati
Continua il mio studio comparativo per comprendere le differenze esistenti tra i migliori server dedicati per Google, quindi quelli con i servizi meglio posizionati, e quelli più performanti, quindi i migliori in base alle valutazioni personali dei responsabili di un noto servizio italiano di hosting professionale. Al solito, stavolta il mio obiettivo è capire se esistano discrepanze tra…
-

Faccette Dentali, Svantaggi
Quello delle faccette dentali è un ambito particolare perché quando si parla di protesi dentarie, c’è sempre da un lato l’interesse per l’estetica dentale e dall’altro per la funzionalità. Insomma, tutti vogliono denti sani e belli, ma occorre conoscere bene i rischi, i vantaggi e soprattutto gli svantaggi di compiere una scelta piuttosto che un’altra.…
-

I Migliori Dentisti in Italia e all’Estero
Il mondo dell’odontoiatria è fatto di grandi professionisti e branche di applicazione. Ultimamente ho trascorso diverso tempo ad osservare la differenza nella percezione di chi siano i migliori implantologi e i migliori parodontologi secondo Google e quali secondo Fabio Cozzolino, un noto implantologo di Napoli.
Vuoi raccomandare qualche libro?